新宿の歯医者「新宿西口歯科医院」は都庁前駅30秒の新宿三井ビル4Fで土日も診療している歯科医院です
歯を失ったらできるだけ早く歯を回復したいものですね。治療法としてインプラントをお考えの場合、その治療期間はインプラントを行う場所や方法 […]
平素より当院をご利用いただき、誠にありがとうございます。 当院では年末年始につきまして、下記の期間を休診とさせていただきます。 何卒ご […]
2024年度 ICOI国際インプラント学会 日本支部総会・学術大会で 依頼講演がありました 新宿西口歯科医院の院長 松成淳一が、202 […]
新宿・都庁前の歯医者・歯科「新宿西口歯科医院」の強みとして「全室に手術用顕微鏡を完備」「デジタル歯科診療」があります。新宿西口歯科医院では2006年に一台目の手術用顕微鏡を導入し、全ての診療台に配置しております。デジタル機器の導入も積極的に行っており患者さんの負担軽減、診断の精度向上、インプラント手術の正確さ等に寄与しています。また、都心の立地を活かし、大学病院の多くの診療科からの出向歯科医師を迎えております。それぞれの専門領域の見解を統合した診療が行えると考えております。
当院では9台の手術用顕微鏡を配置しております。手術に限らず、根管治療・麻酔・虫歯の除去等々に用います。当院では顕微鏡で治療することは、もはやスタンダードだと考えております。
当院では、歯科用CT、口腔内スキャナ(iTero)、Xガイド(エックスガイド)など、先進のデジタル機器を完備し、「デジタル歯科治療」を早くから進めています。デジタル化によって、より精密で安全性を高めた治療が可能となります。デジタル機器によって歯科矯正も症例によっては簡単なものとなりました。
東京医科歯科大学のあるお茶の水から至近な立地のため、口腔外科・インプラント科・歯周病科・歯科保存科・入れ歯外来等の医局員に働いていただいております。専門分野を横断した意見交換が日々行われていることで、総合的な診断・治療方針が得やすくなっていると思います。
新宿・都庁前の歯医者・歯科「新宿西口歯科医院」では、実体顕微鏡(マイクロスコープ)を9台導入しています。この実体顕微鏡は、国内での導入は10%程度で、また複数台の実体顕微鏡を導入している歯科診療所は数%程度であるといわれています。当院ではこの実体顕微鏡を全ての診療で使用可能としているだけでなく、歯科衛生士による歯のクリーニング・メインテナンスでも、必要に応じて実体顕微鏡を使用しています。
マイクロスコープ
新宿・都庁前の歯医者・歯科「新宿西口歯科医院」では、X-ガイド(エックスガイド)を導入しています。X-ガイドは、手術中にドリルの位置をリアルタイムに追跡するダイナミック3Dナビゲーション・システムです。インプラント埋入方向、角度、そして深さの精度と正確性を向上させることができます。当院では、このX-ガイドを使用したインプラント手術では、国内トップクラスの実績があります。
X-ガイド
新宿・都庁前の歯医者・歯科「新宿西口歯科医院」では、院内感染予防のために、徹底した感染対策を実施しております。
「ジェットウォッシャー」や「クラスB滅菌器」などの先進設備も導入し、徹底した衛生管理で院内感染予防に取り組んでおります。
もちろん、歯を削る器具である「タービン」や「コントラ」は滅菌パックに入れたものを患者様の前で開封して使用しております。
感染対策
新宿・都庁前の歯医者・歯科「新宿西口歯科医院」の歯科医師紹介です。新宿西口歯科医院では、「東京医科歯科大学」「東北大学」「長崎大学」などの歯学部を卒業し、様々な学会認定の「専門医」などの資格を持つ経験豊富な歯科医師が複数在籍しており、様々な専門分野に対応。この「総合力」が当院の強みのひとつです。
略歴 東京医科歯科大学 歯学部 卒業 東京医科歯科大学 文部教官助手 新宿西口歯科医院 開設 所属学会・資格 東京医科歯科大学 非常勤 […]
略歴 東京医科歯科大学 歯学部 卒業 所属学会・資格 日本口腔インプラント学会 専門医 日本インプラント臨床研究会 著書・書籍 著書・ […]
略歴 山形県東根市出身 東北大学 卒業 東京大学口腔顎顔面外科・矯正歯科 研修医修了 日本口腔インプラント学会 専修医 所属学会・資格 […]
略歴 大阪府出身 長崎大学 歯学部 卒業 東京医科歯科大学 研修医修了 所属学会・資格 日本口腔インプラント学会 所属 日本インプラン […]
略歴 東京医科歯科大学 歯学部 卒業 所属学会・資格 ※只今準備中です
略歴 明海大学 歯学部 卒業 所属学会・資格 ※只今準備中です
新宿・都庁前の歯医者・歯科「新宿西口歯科医院」の歯科医師によって、歯科専門書の翻訳や執筆を行っています。歯科医療の発展と、一人でも多くの患者様の健康に寄与できるよう、当院のドクター陣は、日々研鑽や研究を怠りません。


新宿・都庁前の歯医者・歯科「新宿西口歯科医院」では、
皆様に少しでも安心して歯科治療を受けていただくために、様々な取り組みを行っております。


新宿西口歯科医院では、「院内感染対策」を徹底しています。院内での各種感染症対策だけでなく、クラスB滅菌機も導入した滅菌サイクルで、滅菌処理も高水準で実施。滅菌パックし、血液などで汚染された治療器具の使いまわしは一切しません。


新宿西口歯科医院では、東京医科歯科大学をはじめ、東北大学、長崎大学などの国立大学歯学部を卒業した、経験豊富な歯科医師、専門医などが複数人数在籍しております。また歯科衛生士もメインテナンスに関する資格保持者が在籍しています。


新宿西口歯科医院では、患者様がしっかりと納得の上で治療を受けていただける様にするために、「説明と同意」の考えを重視しています。しっかりお話をお伺いし、丁寧にわかりやすくご説明いたします。もちろん必要のない治療は行いません。


新宿西口歯科医院では、先進の歯科医療設備を積極導入。デジタル化による高度で精密、より安全な歯科治療の流れを確立しています。歯科治療の「見える化」を実現可能となり、治療する歯科医師にも説明を受ける患者様にも貢献します。


新宿西口歯科医院では、マイクロスコープ(歯科用実体顕微鏡)を9台完備しています。拡大視野下で超精密な治療を行い、できるだけ削らない、再治療にならない、長持ちする治療を目標として、こだわった歯科治療に取り組んでいます。


新宿西口歯科医院では、歯科治療に伴う「痛み」に対して最大限配慮し、可能な限り痛みを制御した歯科治療に取り組んでいます。患者様の苦痛を少しでも減少させることも歯科治療の大切な要素であると考え、歯科医師で共有しています。
Prevention
PRESIDENT(プレジデント) 2012年11月12日号によると、「55~74歳の男女」1060人に「人生の振り返り」の調査を実施した結果、「健康に関する後悔の1位」は、『歯の定期検診を受ければよかった』という結果でした。 なぜこのような結果になったのでしょうか。なぜ、人生の「健康に関する後悔1位」 は「歯の定期検診を受ければよかった」ということなのでしょうか。 そして歯の定期検診が重要な理由として、 各国を比較してみると、例えば、日本と欧米では「予防」に対する考え方が異なります。 この欧米の歯科医療先進国との意識の違いとして、日本のように「痛くなったから歯科医院に行く」ということではなく、「痛くならないように日ごろから定期的に歯科医院に行っておく」という違いがあります。 新宿・都庁前の歯医者・歯科「新宿西口歯科医院」では、歯周病治療や予防・歯のクリーニングに注力しています。


新宿・都庁前の歯医者・歯科「新宿西口歯科医院」の診療内容です。一般的な保険診療を中心として、各種自由診療(健康保険適用外の自費治療)にも対応しています。白い歯・きれいな形の歯を実現するセラミック治療、失った歯を補いかみ合わせを回復するインプラント治療、正しい歯並びと噛み合わせ、整った口元を作るための歯列矯正治療など、極めて高度な知識・技術・経験が必要となる治療にも、高度なレベルで対応しています。
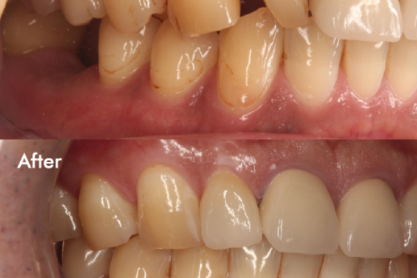
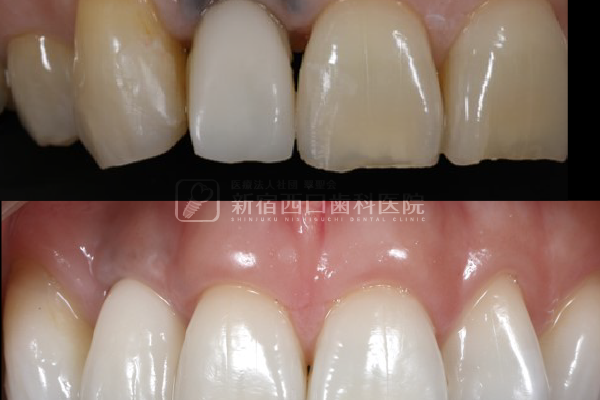
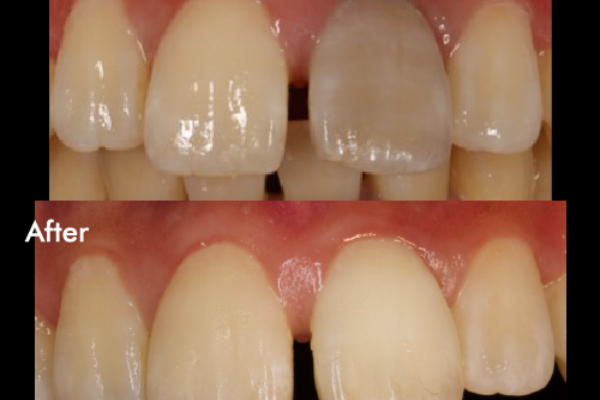
只今症例は準備中です。今後は新宿西口歯科医院で治療を行った、各種歯科治療の治療例をご覧になれるようにしていきます。カテゴリーから各種治療に絞り込んで症例を閲覧することができます。
医療法人社団翠聖会の副理事長であり、新宿西口歯科医院の院長である、松成淳一よりのご挨拶です。
新宿西口歯科医院では、歯科医療の「見える化」に取り組んでまいりました。 新しい設備を次々と導入していくことはもちろん大変ですが、治療内容にもたらされる圧倒的なベネフィットを考えると、妥協することはできません。国内にまだあまり普及していなかった頃から歯科用CTやマイクロスコープを多数導入し、「何でも見える歯科医院」を目指してきました。 歯科医師や歯科衛生士が治療部分やメインテナンス箇所を良く見えるだけでなく、録画や写真をとおして、患者様にも良く見える歯科医療を心がけてきました。 開院から20年以上の歳月が流れた現在も、それは変わりません。今も理想の歯科医院を具現化すべく日々努力しております。
新宿西口歯科医院では、最良の治療イコール「しっかり噛めるきれいな天然の歯を、生涯にわたり可能な限り長く使って頂けることにつながる質の高い治療」と考えています。 そのためにわたしたちが心がけていることは歯科治療に対する不安・不満を解消し、患者様お一人おひとりにあったオーダーメイドの治療計画を立案すること。 また、患者様にしっかり納得いただけるまで必要十分な説明を丁寧に行います。さらに、最新の知識と技術習得にも努め、当院に「来てよかった」と思っていただける様な質の高い治療の提供と丁寧な誠意ある対応を心がけます。 皆様が安心して通える歯科医院を目指し、丁寧な診療と温かい対応で皆さまをお迎えいたします。お気軽にご相談ください。
新宿西口歯科医院では、患者様の「こうなりたい」を実現するため、お一人お一人の希望や目標に真摯に向き合っています。まず、お話をじっくりお聴きし、患者様のご要望や不安を理解します。それに基づいて、最適な治療プランを提案し、治療の流れや効果について丁寧に説明します。患者様が納得し、安心して治療に臨めるよう、常にコミュニケーションを大切にしています。最新の設備と高度な技術を駆使し、患者様の笑顔を実現するお手伝いをしています。患者様と共に歩み、理想のお口の健康を追求してまいります。ご相談やご予約はいつでもお気軽にお寄せください。
「噛める喜び」がいつまでも続くようにという想いを大切に、当院では患者様のお口の健康を第一に考えています。お口の中で快適に噛むことは、食事を楽しむだけでなく、全身の健康にも大きく影響します。しっかり噛むことで栄養の吸収が促進され、胃腸の負担も軽減されます。そのため、お口の健康を保つことは、健康な体を維持するために欠かせない要素となります。当院では、最新の治療技術と温かい対応で患者様のお口の健康をサポートし、「噛める喜び」をいつまでも続けるお手伝いをしています。患者様の笑顔と健康な日々を共に追求することを使命とし、丁寧な治療と情熱的なサポートを提供しています。ご相談やご予約はいつでもお気軽にどうぞ。

医療法人社団 翠聖会
副理事長
新宿西口歯科医院
院長 / 歯科医師
松成 淳一
JUNICHI MATSUNARI
1994年
東京医科歯科大学 歯学部 卒業
1995年
東京医科歯科大学 文部教官助手
2001年
新宿西口歯科医院 開設
2012年
JAID 副会長
2013年
現在に至る
新宿西口歯科医院の院内ツアーです。院内の大まかな雰囲気をご確認下さい。
新宿・都庁前の歯医者・歯科「新宿西口歯科医院」のある「新宿三井ビルディング」は、都庁前駅から徒歩30秒の立地にあります。4Fまでお越しください。
新宿・都庁前の歯医者・歯科「新宿西口歯科医院」の医院入口です。エレベーターを降りると近くに当院入口がありますので、中にお入りください。
新宿・都庁前の歯医者・歯科「新宿西口歯科医院」の受付です。スタッフがお出迎えいたします。お越しの際はまずは受付でお手続き下さい。
新宿西口歯科医院の待合スペースです。当院ではできる限り待ち時間の無いようにしていますが、お待ちの際はこちらをご利用ください。
新宿・都庁前の歯医者・歯科「新宿西口歯科医院」の診療スペースです。当院の診療室は全てがプライベートに配慮した完全個室の診療室です。
新宿・都庁前の歯医者・歯科「新宿西口歯科医院」のオペ室です。口腔外科手術やインプラント手術の際にはこちらのオペ室を利用します。
新宿・都庁前の歯医者・歯科「新宿西口歯科医院」へのアクセスです。新宿西口歯科医院は、JR・京王電鉄・小田急電鉄・東京メトロ各線「新宿駅」から、地下道直結で徒歩約6分、都営地下鉄大江戸線「都庁前駅」から徒歩30秒という非常に便利な立地にあります。
新宿西口歯科医院(Shinjuku Nishiguchi Dental Clinic)
歯科・矯正歯科・口腔外科・小児歯科
〒163-0404 新宿区西新宿2-1-1 新宿三井ビルディング4F
JR・京王電鉄・小田急電鉄・東京メトロ各線「新宿駅」徒歩6分
都営地下鉄大江戸線「都庁前駅」徒歩30秒
TEL:03-3344-4567
| 曜日 | 午前 | 午後 |
| 平日 | 9:30-13:00 | 14:00-20:00 |
| 土曜 | 9:30-13:00 | 14:00-19:00 |
| 日曜 | 9:30-13:00 | 14:00-17:00 |
※最終受付:診療終了の30分前迄 ※祝日は休診日です
新宿・都庁前の歯医者・歯科「新宿西口歯科医院(Shinjuku Nishiguchi Dental Clinic)」は、歯科・矯正歯科・小児歯科・口腔外科に対応しています。医院の所在地は、新宿区西新宿2-1-1 新宿三井ビルディング4Fで、 JR・京王電鉄・小田急電鉄・東京メトロ各線「新宿駅」徒歩6分 都営地下鉄大江戸線「都庁前駅」徒歩30秒の立地にあります。また、車いす・ベビーカーの乗り入れ可能、バリアフリー設計となっており、安心してご来院頂けます。ご予約・お問合せは、03-3344-4567、ご予約については専用の「24時間Web予約フォーム」もご利用いただけます。「新宿」エリア「都庁前」エリアだけでなく、「西新宿」「代々木」「新大久保」「西新宿五丁目」「中野坂上」その他、渋谷区、豊島区、中野区、港区、さらに東京都内だけでなく、近隣県や遠方の様々な地域からもご来院がございます。お口のお悩みのことは、お一人でお悩みにならず、まずは新宿西口歯科医院(Shinjuku Nishiguchi Dental Clinic)までご相談ください。